- ಡಾ| ಮುರಲೀ ಮೋಹನ್ ಚೂಂತಾರು

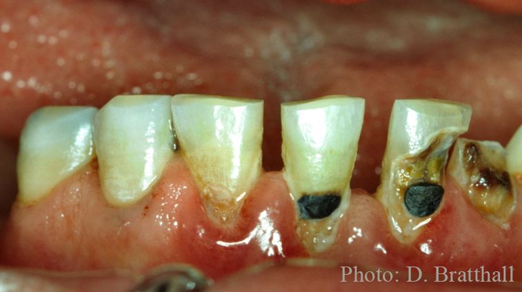
ಬಹಳಷ್ಟು ವರ್ಷಗಳಿಂದ ದಂತ ಕುಳಿ ಅಥವಾ ಆಡುಭಾಷೆಯಲ್ಲಿ ಹೇಳುವುದಾದರೆ ಹಲ್ಲಿನಲ್ಲಿ ಹುಳುಕಾಗುವುದು ಎಂಬುದು ದಂತ ವೈದ್ಯರಿಗೆ ಕಬ್ಬಿಣದ ಕಡಲೆಯಾಗಿಯೇ ಉಳಿದಿತ್ತು. ಯಾವ ನೋವಾದರೂ ಸಹಿಸಬಹುದು ಹಲ್ಲು ನೋವಿನ ಸಹವಾಸವೇ ಬೇಡ ಎಂಬುದು ಹಲ್ಲು ನೋವಿನಿಂದ ಬಳಲಿದವರ ಮನದಾಳದ ಮಾತು.

ನೋವಿನ ಚರಿತ್ರೆಯನ್ನು ಅವಲೋಕಿಸಿದಾಗ ಹೆರಿಗೆ ನೋವಿನ ನಂತರದ ಸ್ಥಾನ ಹಲ್ಲುನೋವಿಗೆ ಅನಾಯಾಸವಾಗಿ ಯಾವತ್ತೂ ಸಿಗುತ್ತದೆ. ಒಮ್ಮೆ ಹಲ್ಲು ಹುಳುಕಾದರೆ ಮುಗಿಯಿತು, ಯಾವತ್ತೂ ತಲೆನೋವು. ಯಾವಾಗ ಹಲ್ಲು ನೋವು ಬರುತ್ತದೆ ಎಂಬುದನ್ನು ನೆನೆದೇ ಹಲವರಿಗೆ ಜ್ವರ ಬಂದಿದ್ದು ಉಂಟು. ಯಾಕೆಂದರೆ ಒಮ್ಮೆ ಹುಳುಕಾದ ಹಲ್ಲು ಪುನಃ ಮೊದಲಿನಂತೆ ಆಗಲು ಸಾಧ್ಯವೇ ಇಲ. ಯಾಕೆಂದರೆ ಹಲ್ಲಿನ ಏನಾಮಲ್ ಪದರಕ್ಕೆ ರಿಜನರೇಶನ್ ಅಥವಾ ಪುನರುತ್ಪತ್ತಿ ಎಂಬ ಪ್ರಮೇಯವೇ ಇಲ್ಲ.
\ 
ಏನಿದ್ದರೂ ಹುಳುಕಾದ ಹಲ್ಲಿನ ಭಾಗವನ್ನು ಡ್ರಿಲ್ ಮಾಡಿ ಕೊರೆದು, ಹುಳುಕಾದ ಹಲ್ಲಿನ ಭಾಗವನ್ನು ತೆಗೆದು ಬೆಳ್ಳಿ ಅಥವಾ ಇನ್ನಾವುದೇ ಹಲ್ಲಿನ ಬಣ್ಣದ ಸಿಮೆಂಟನ್ನು ತುಂಬಿ ಹಲ್ಲಿನ ಮೊದಲಿನ ಆಕೃತಿ ಮತ್ತು ಬಣ್ಣ ಬರುವಂತೆ ಮಾಡಲಾಗುತ್ತದೆ. ಸಾಮಾನ್ಯವಾಗಿ ಹಲ್ಲು ಹುಳುಕಾದಾಗ, ಬ್ಯಾಕ್ಟೀರಿಯಾಗಳು ಹಲ್ಲಿನ ಎನಾಮಲ್ನ ಪದgವನ್ನು ದಾಟಿ ಡೆಂಟಿನ್ ಪದರಕ್ಕೆ ದಾಳಿ ಮಾಡುತ್ತದೆ.
ಹಲ್ಲಿನ ಡೆಂಟಿನ್ ಪದರಕ್ಕೆ ಪುನರುತ್ಪತ್ತಿ ಮಾಡಿಕೊಳ್ಳುವ ಶಕ್ತಿ ಇದೆ. ಕೆಲವೇ ಕೆಲವು ಸಂದರ್ಭಗಳಲ್ಲಿ ಹಲ್ಲಿಗೆ ಏಟು ಬಿದ್ದಾಗ, ಹಲ್ಲಿನ ಒಳಭಾಗದ ದಂತಮಜ್ಜೆ ಅಥವಾ ಪಲ್ಪ್ ಎಂಬ ಅಂಗಾಂಶಕ್ಕೆ ಗಾಯವಾದಾಗ ಅಥವಾ ಹುಳುಕಾದ ಭಾಗ ದಂತ ಮಜ್ಜೆಯವರೆಗೂ ತಲುಪಿದಾಗ ’ಡೆಂಟಿನ್ ಪದರ’ ರಿಜನರೇಶನ್ ಆಗುವ ಸಾಧ್ಯತೆ ಇದೆ.
ಆದರೆ ಈ ಪುನರುತ್ಪತ್ತಿ ಆಗುವ ಪ್ರಕ್ರಿಯೆ ಬಹಳ ನಿಧಾನ ಮತ್ತು ಹುಳುಕಾದ ಹಲ್ಲಿನ ಭಾಗವನ್ನು ತುಂಬುವಷ್ಟು ಡೆಂಟಿನ ಪದರವನ್ನು ಉತ್ಪತ್ತಿ ಮಾಡುವ ಸಾಮಥ್ಯ ಇರುವುದಿಲ. ಈ ಕಾರಣದಿಂದಲೇ ಅನಿವಾರ್ಯವಾಗಿ ಹಲ್ಲಿನ ಹುಳುಕಾದ ಭಾಗವಾದ ಎನಾಮಲ್ ಮತ್ತು ಡೆಂಟಿನ ಪದರವನ್ನು ಕಿತ್ತುಹಾಕಿ ಹಲ್ಲನ್ನು ಬೆಳ್ಳಿ ಅಥವಾ ಇನ್ನಾವುದೇ ಸಿಮೆಂಟ್ಗಳಿಂದ ತುಂಬಿಸಬೇಕಾದ ಅನಿವಾರ್ಯತೆ ಇದೆ.


ಏನಿದು ಬ್ರಹ್ಮಾಸ್ತ್ರ ?
ಇತ್ತೀಚೆಗೆ ಇಂಗ್ಲೆಂಡಿನಲ್ಲಿ ನಡೆದ ಸಂಶೋಧನೆಗಳ ಮುಖಾಂತರ ಅಲ್ಜೈಮರ್ಸ್ ರೋಗಕ್ಕೆ ಬಳಸುವ ಟಿಡೆಗ್ಲುಸಿಬ್ ಎಂಬ ಮಾತ್ರೆ ಹಲ್ಲುಗಳ ಡೆಂಟಿನ ಪದರವನ್ನು ಪುನರುತ್ಪತ್ತಿ ಮಾಡಲು ಪ್ರಚೋದಿಸುತ್ತದೆ ಎಂದು ತಿಳಿದುಬಂದಿದೆ.
ಇಂಗ್ಲೆಂಡಿನ ಕಿಂಗ್ಸ್ ದಂತ ಕಾಲೇಜ್, ಲಂಡನ್ ಇಲ್ಲಿನ ಪ್ರೋಫೆಸರ್ ಪಾಲ್ ಶಾರ್ಪೆ ಇವರು ಇಲಿಗಳ ಹಲ್ಲಿನ ಮೇಲೆ ನಡೆಸಿದ ಸಂಶೋಧನೆಗಳ ಮುಖಾಂತರ ಈ ಟಿಡೆಗ್ಲುಸಿಬ್ ಎಂಬ ಔಷಧಿ ಹಲ್ಲಿನ ದಂತ ಮಜ್ಜೆಯೊಳಗಿನ ಆಕರ ಕೋಶಗಳನ್ನು ಪ್ರಚೋದಿಸಿ, ಹೆಚ್ಚಿನ ಡೆಂಟಿನ್ ಉತ್ಪಾದನೆ ಮಾಡಲು ಪ್ರಚೋದಿಸುತ್ತದೆ ಎಂದು ನಿರೂಪಿಸಿದ್ದಾರೆ. ಈ ಔಷಧಿ ಜಿಎಸ್ಕೆ-೩ ಎಂಬ ಕಿಣ್ವವನ್ನು ನಿಷ್ಕ್ರಿಯಗೊಳಿಸುತ್ತದೆ ಮತ್ತು ಜಿಎಸ್ಕೆ-೩ ಕಿಣ್ವ ಡೆಂಟಿನ್ ಪದರನ್ನು ಬೆಳೆಯದಂತೆ ನೋಡಿಕೊಳ್ಳುವ ಸಾಮರ್ಥ್ಯ ಹೊಂದಿದೆ.
ಸಣ್ಣ ಸಣ್ಣ ಕರಗಿ ಹೋಗz, ಮೆದುವಾದ ಹತ್ತಿಯಂತಹ ಕೊಲ್ಲಾಜಿನ್ ಎಂಬ ವಸ್ತುವನ್ನು ಟಿಡೆಗ್ಲುಸಿಬ್ ಎಂಬ ಔಷಧಿಯ ದ್ರಾವಣದಲ್ಲಿ ಅದ್ದಿ ಹುಳುಕಾದ ಹಲ್ಲಿನ ಭಾಗದಲ್ಲಿ ಇಟ್ಟು ಹಲ್ಲಿನ ಡೆಂಟಿನ ಪದರ ಪುನರ್ ಉತ್ಪತ್ತಿ ಮಾಡಲು ಪ್ರಚೋದಿಸಲಾಗುತ್ತದೆ. ೬ ವಾರಗಳಲ್ಲಿ ಡೆಂಟಿನ ಪದರ ಉತ್ಪಾದನೆ ಆಗುತ್ತದೆ ಎಂದೂ ಸಂಶೋಧನೆಗಳಿಂದ ತಿಳಿದು ಬಂದಿದೆ. ಇಂಗ್ಲೆಂಡಿನ ಖ್ಯಾತ ದಿನಪತ್ರಿಕೆ ದಿ ಟೆಲೆಗ್ರಾಪ್ ಪತ್ರಿಕೆಯಲ್ಲಿ ಬಂದ ವರದಿಗಳ ಪ್ರಕಾರ ಅಲ್ಜೆಮರ್ಸ್ ಕಾಯಿಲೆಗೆ ಬಳಸಲು ಸೂಕ್ತ ಎಂದು ಪ್ರಮಾಣಿಕರಿಸಿದ ಈ ’ಟಿಡೆಗ್ಲುಸಿಬ್’ ಎಂಬ ಔಷದಿ, ಮುಂದೊಂದು ದಿನ ಹುಳುಕಾದ ಹಲ್ಲನ್ನು ಪುನರುತ್ಪತ್ತಿ ಮಾಡಲು ಬಳಸುವ ದಿನಗಳು ದೂರವಿಲ್ಲ.
ಒಟ್ಟಿನಲ್ಲಿ ಶತಮಾನಗಳಿಂದ ಮನುಕುಲವನ್ನು ಇನ್ನಿಲ್ಲದಂತೆ ಕಾಡಿದ ದಂತ ಕುಳಿ ರೋಗಕ್ಕೆ ಈ ’ಟಿಡೆಗ್ಲುಸಿಬ್’ ಔಷದಿ ಬ್ರಹ್ಮಾಸ್ತ್ರವಾಗುವ ದಿನಗಳು ದೂರವಿಲ್ಲ. ಹಾಗಾದಲ್ಲಿ ದಂತ ವೈದ್ಯರ ಸಹವಾಸ ತಪ್ಪಿ, ಹಲ್ಲು ಡ್ರಿಲ್ ಮಾಡಿಸಿಕೊಳ್ಳುವ ಯಾತನೆ ದೂರವಾಗುವ ಮತ್ತು ದುಬಾರಿ ದಂತ ಚಿಕಿತ್ಸೆಗೆ ಕಡಿವಾಣ ಬೀಳುವ ದಿನಗಳು ದೂರವಿಲ್ಲ. ಇನ್ನು ಮುಂದೆಯಾದರೂ ನೆಮ್ಮದಿಯಿಂದ, ಸಿಹಿ ತಿಂಡಿಗಳನ್ನು ಹಲ್ಲು ತೂತಾಗಬಹುದು ಎಂಬ ಭಯದಿಂದ ಮುಕ್ತಿ ಹೊಂದಿ ತಿನ್ನುವ ದಿನಗಳು ಬರುವ ಎಲ್ಲ ಸಾಧ್ಯತೆಗಳೂ ಇದೆ.
ಹಲ್ಲು ತೂತಾದರೂ ಪರವಾಗಿಲ್ಲ ಜೊತೆಗೆ ನಾಲ್ಕು ಟಿಡೆಗ್ಲುಸಿಬ್ ಮಾತ್ರೆ ತಿಂದರೆ ಸಾಕು ಎಂಬ ದಿನ ಬಂದರೂ ಆಶ್ಚರ್ಯವೇನಿಲ. ಮೊದಲೇ ದಂತ ವೈದ್ಯರ ಸಂಖ್ಯೆ ಜಾಸ್ತಿಯಾಗಿ ಕೆಲಸವಿಲ್ಲದೆ ಹೈರಾಣಾಗಿರುವ ದಂತ ವೈದ್ಯರಿಗೆ ಬಹುಷಃ ಈ ಸತ್ಯವನ್ನು ಅರಗಿಸಿಕೊಳ್ಳಲು ಕಷ್ಟವಾಗಬಹುದು. ಅದೇನೇ ಇರಲಿ ಮನುಕುಲವನ್ನು ಇನ್ನಿಲ್ಲದಂತೆ ಶತಮಾನಗಳಿಂದ ಕಾಡಿದ ದಂತಕುಳಿ ರೋಗ ನಿರ್ನಾಮವಾಗಲಿ ಎಂದು ತುಂಬು ಹೃದಯದಿಂದ ಹಾರೈಸೋಣ ಅದರಲ್ಲಿಯೇ ಮನುಕುಲದ ಒಳಿತು ಅಡಗಿದೆ.
(ಲೇಖಕರು ದಂತವೈದ್ಯರು)


Be the first to comment on "ದಂತಕುಳಿಗೂ ಬಂತು ಬಹ್ಮಾಸ್ತ್ರ"